Products

PMS1 rabbit pAb
One-click to copy product information
ES3240
Size: Price:
50 µL $148.00
100 µL $248.00

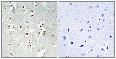
Overview

Product name: PMS1 rabbit pAb
Reactivity: Human;Rat;Mouse;
Alternative Names: PMS1; PMSL1; PMS1 protein homolog 1; DNA mismatch repair protein PMS1
Source: Rabbit
Dilutions: Western Blot: 1/500 - 1/2000. Immunohistochemistry: 1/100 - 1/300. ELISA: 1/10000. Not yet tested in other applications.
Immunogen: The antiserum was produced against synthesized peptide derived from human PMS1. AA range:441-490
Storage: -20°C/1 year
Clonality: Polyclonal
Isotype: IgG
Concentration: 1 mg/ml
Observed Band: 105kD
GeneID: 5378
Human Swiss-Prot No: P54277
Cellular localization: Nucleus .
Background: This gene encodes a protein belonging to the DNA mismatch repair mutL/hexB family. This protein is thought to be involved in the repair of DNA mismatches, and it can form heterodimers with MLH1, a known DNA mismatch repair protein. Mutations in this gene cause hereditary nonpolyposis colorectal cancer type 3 (HNPCC3) either alone or in combination with mutations in other genes involved in the HNPCC phenotype, which is also known as Lynch syndrome. [provided by RefSeq, Jul 2008],