Products

PI 3-kinase p85α/γ rabbit pAb
One-click to copy product information
ES3200
Size: Price:
50 µL $148.00
100 µL $248.00

Overview

Product name: PI 3-kinase p85α/γ rabbit pAb
Reactivity: Human;Mouse;Rat;Monkey;Chicken(testedbyourcustomer)
Alternative Names: PIK3R1; GRB1; Phosphatidylinositol 3-kinase regulatory subunit alpha; PI3-kinase regulatory subunit alpha; PI3K regulatory subunit alpha; PtdIns-3-kinase regulatory subunit alpha; Phosphatidylinositol 3-kinase 85 kDa regulatory subunit alph
Source: Rabbit
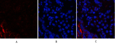
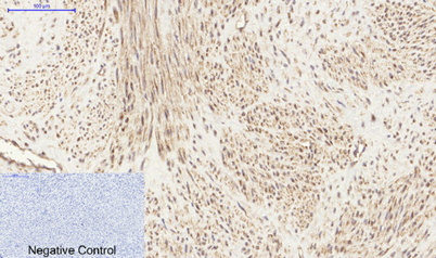
Dilutions: Western Blot: 1/500 - 1/2000. Immunohistochemistry: 1/100 - 1/300. Immunofluorescence: 1/200 - 1/1000. ELISA: 1/20000. Not yet tested in other applications.
Immunogen: The antiserum was produced against synthesized peptide derived from human PI3-kinase p85-alpha/gamma. AA range:436-485
Storage: -20°C/1 year
Clonality: Polyclonal
Isotype: IgG
Concentration: 1 mg/ml
Observed Band: 54+83kD
GeneID: 5295/8503
Human Swiss-Prot No: P27986/Q92569
Cellular localization: nucleus,cytoplasm,cis-Golgi network,cytosol,plasma membrane,cell-cell junction,phosphatidylinositol 3-kinase complex,phosphatidylinositol 3-kinase complex, class IA,membrane,perinuclear endoplasmic reticulum membrane,
Background: Phosphatidylinositol 3-kinase phosphorylates the inositol ring of phosphatidylinositol at the 3-prime position. The enzyme comprises a 110 kD catalytic subunit and a regulatory subunit of either 85, 55, or 50 kD. This gene encodes the 85 kD regulatory subunit. Phosphatidylinositol 3-kinase plays an important role in the metabolic actions of insulin, and a mutation in this gene has been associated with insulin resistance. Alternative splicing of this gene results in four transcript variants encoding different isoforms. [provided by RefSeq, Jun 2011],