$148.00/50µL $248.00/100µL
| 50 µL | $148.00 |
| 100 µL | $248.00 |
| Product name: | PBFE rabbit pAb |
| Reactivity: | Human;Rat |
| Alternative Names: | EHHADH; ECHD; Peroxisomal bifunctional enzyme; PBE; PBFE |
| Source: | Rabbit |
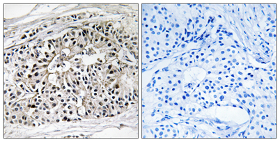
| Dilutions: | Western Blot: 1/500 - 1/2000. Immunohistochemistry: 1/100 - 1/300. ELISA: 1/10000. Not yet tested in other applications. |
| Immunogen: | The antiserum was produced against synthesized peptide derived from human EHHADH. AA range:476-525 |
| Storage: | -20°C/1 year |
| Clonality: | Polyclonal |
| Isotype: | IgG |
| Concentration: | 1 mg/ml |
| Observed Band: | 80kD |
| GeneID: | 1962 |
| Human Swiss-Prot No: | Q08426 |
| Cellular localization: | Peroxisome . |
| Background: | catalytic activity:(3S)-3-hydroxyacyl-CoA = trans-2(or 3)-enoyl-CoA + H(2)O.,catalytic activity:(3Z)-dodec-3-enoyl-CoA = (2E)-dodec-2-enoyl-CoA.,catalytic activity:(S)-3-hydroxyacyl-CoA + NAD(+) = 3-oxoacyl-CoA + NADH.,disease:Absent in patients suffering with peroxisomal disorders such as Zellweger syndrome, neonatal adrenoleukodystrophy and infantile Refsum disease.,pathway:Lipid metabolism; fatty acid beta-oxidation.,similarity:In the C-terminal section; belongs to the 3-hydroxyacyl-CoA dehydrogenase family.,similarity:In the N-terminal section; belongs to the enoyl-CoA hydratase/isomerase family.,subunit:Monomer.,tissue specificity:Liver and kidney. Lower amounts seen in the brain., |



