Products

p21 rabbit pAb
One-click to copy product information
ES3100
Size: Price:
50 µL $148.00
100 µL $248.00

Overview

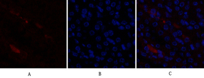
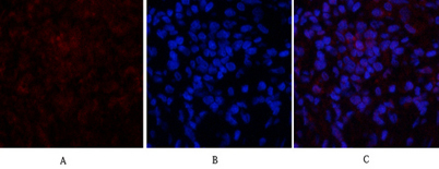
Product name: p21 rabbit pAb
Reactivity: Human;Mouse;Rat
Alternative Names: CDKN1A; CAP20; CDKN1; CIP1; MDA6; PIC1; SDI1; WAF1; Cyclin-dependent kinase inhibitor 1; CDK-interacting protein 1; Melanoma differentiation-associated protein 6; MDA-6; p21
Source: Rabbit
Dilutions: IF: 1:50-200 Western Blot: 1/500 - 1/2000. ELISA: 1/20000. Not yet tested in other applications.
Immunogen: The antiserum was produced against synthesized peptide derived from human p21 Cip1. AA range:111-160
Storage: -20°C/1 year
Clonality: Polyclonal
Isotype: IgG
Concentration: 1 mg/ml
Observed Band: 21kD
GeneID: 1026
Human Swiss-Prot No: P38936
Cellular localization: Cytoplasm . Nucleus .
Background: This gene encodes a potent cyclin-dependent kinase inhibitor. The encoded protein binds to and inhibits the activity of cyclin-cyclin-dependent kinase2 or -cyclin-dependent kinase4 complexes, and thus functions as a regulator of cell cycle progression at G1. The expression of this gene is tightly controlled by the tumor suppressor protein p53, through which this protein mediates the p53-dependent cell cycle G1 phase arrest in response to a variety of stress stimuli. This protein can interact with proliferating cell nuclear antigen, a DNA polymerase accessory factor, and plays a regulatory role in S phase DNA replication and DNA damage repair. This protein was reported to be specifically cleaved by CASP3-like caspases, which thus leads to a dramatic activation of cyclin-dependent kinase2, and may be instrumental in the execution of apoptosis following caspase activation. Mice that lac