$148.00/50µL $248.00/100µL
| 50 µL | $148.00 |
| 100 µL | $248.00 |
| Product name: | MRP-L41 rabbit pAb |
| Reactivity: | Human;Mouse;Rat |
| Alternative Names: | MRPL41; BMRP; MRPL27; RPML27; PIG3; 39S ribosomal protein L41; mitochondrial; L41mt; MRP-L41; 39S ribosomal protein L27 homolog; Bcl-2-interacting mitochondrial ribosomal protein L41; Cell proliferation-inducing gene 3 protein; MRP-L27 homo |
| Source: | Rabbit |
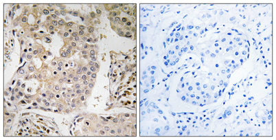
| Dilutions: | Western Blot: 1/500 - 1/2000. Immunohistochemistry: 1/100 - 1/300. ELISA: 1/40000. Not yet tested in other applications. |
| Immunogen: | The antiserum was produced against synthesized peptide derived from human MRPL41. AA range:81-130 |
| Storage: | -20°C/1 year |
| Clonality: | Polyclonal |
| Isotype: | IgG |
| Concentration: | 1 mg/ml |
| Observed Band: | 21kD |
| GeneID: | 64975 |
| Human Swiss-Prot No: | Q8IXM3 |
| Cellular localization: | Mitochondrion . |
| Background: | Mammalian mitochondrial ribosomal proteins are encoded by nuclear genes and help in protein synthesis within the mitochondrion. Mitochondrial ribosomes (mitoribosomes) consist of a small 28S subunit and a large 39S subunit. They have an estimated 75% protein to rRNA composition compared to prokaryotic ribosomes, where this ratio is reversed. Another difference between mammalian mitoribosomes and prokaryotic ribosomes is that the latter contain a 5S rRNA. Among different species, the proteins comprising the mitoribosome differ greatly in sequence, and sometimes in biochemical properties, which prevents easy recognition by sequence homology. This gene encodes a 39S subunit protein that belongs to the YmL27 ribosomal protein family. [provided by RefSeq, Jul 2008], |


