$148.00/50µL $248.00/100µL
| 50 µL | $148.00 |
| 100 µL | $248.00 |
| Product name: | MOR-1 rabbit pAb |
| Reactivity: | Human;Mouse;Rat |
| Alternative Names: | OPRM1; MOR1; Mu-type opioid receptor; M-OR-1; MOR-1; Mu opiate receptor; Mu opioid receptor; MOP; hMOP |
| Source: | Rabbit |
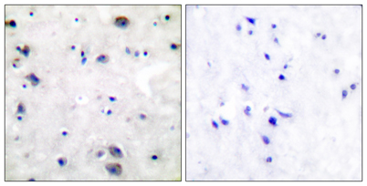
| Dilutions: | Western Blot: 1/500 - 1/2000. Immunohistochemistry: 1/100 - 1/300. ELISA: 1/20000. Not yet tested in other applications. |
| Immunogen: | The antiserum was produced against synthesized peptide derived from human Opioid Receptor. AA range:341-390 |
| Storage: | -20°C/1 year |
| Clonality: | Polyclonal |
| Isotype: | IgG |
| Concentration: | 1 mg/ml |
| Observed Band: | 60kD |
| GeneID: | 4988 |
| Human Swiss-Prot No: | P35372 |
| Cellular localization: | Cell membrane ; Multi-pass membrane protein . Cell projection, axon . Perikaryon . Cell projection, dendrite . Endosome . Is rapidly internalized after agonist binding. .; [Isoform 12]: Cytoplasm . |
| Background: | This gene encodes one of at least three opioid receptors in humans; the mu opioid receptor (MOR). The MOR is the principal target of endogenous opioid peptides and opioid analgesic agents such as beta-endorphin and enkephalins. The MOR also has an important role in dependence to other drugs of abuse, such as nicotine, cocaine, and alcohol via its modulation of the dopamine system. The NM_001008503.2:c.118A>G allele has been associated with opioid and alcohol addiction and variations in pain sensitivity but evidence for it having a causal role is conflicting. Multiple transcript variants encoding different isoforms have been found for this gene. Though the canonical MOR belongs to the superfamily of 7-transmembrane-spanning G-protein-coupled receptors some isoforms of this gene have only 6 transmembrane domains. [provided by RefSeq, Oct 2013], |



