Products

MIF rabbit pAb
One-click to copy product information
ES2790
Size: Price:
50 µL $148.00
100 µL $248.00

Overview

Product name: MIF rabbit pAb
Reactivity: Human;Mouse;Rat
Alternative Names: MIF; GLIF; MMIF; Macrophage migration inhibitory factor; MIF; Glycosylation-inhibiting factor; GIF; L-dopachrome isomerase; L-dopachrome tautomerase; Phenylpyruvate tautomerase
Source: Rabbit
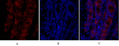
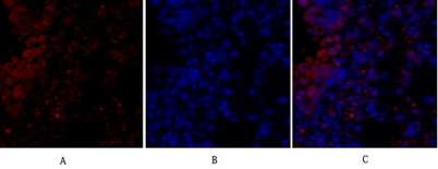
Dilutions: IF: 1:50-200 WB 1:500-2000, ELISA 1:10000-20000 IHC 1:50-300
Immunogen: The antiserum was produced against synthesized peptide derived from human MIF. AA range:25-74
Storage: -20°C/1 year
Clonality: Polyclonal
Isotype: IgG
Concentration: 1 mg/ml
Observed Band: 12kD
GeneID: 4282
Human Swiss-Prot No: P14174
Cellular localization: Secreted . Cytoplasm . Does not have a cleavable signal sequence and is secreted via a specialized, non-classical pathway. Secreted by macrophages upon stimulation by bacterial lipopolysaccharide (LPS), or by M.tuberculosis antigens. .
Background: This gene encodes a lymphokine involved in cell-mediated immunity, immunoregulation, and inflammation. It plays a role in the regulation of macrophage function in host defense through the suppression of anti-inflammatory effects of glucocorticoids. This lymphokine and the JAB1 protein form a complex in the cytosol near the peripheral plasma membrane, which may indicate an additional role in integrin signaling pathways. [provided by RefSeq, Jul 2008],