Products

JAK1 rabbit pAb
One-click to copy product information
ES2655
Size: Price:
50 µL $148.00
100 µL $248.00

Overview

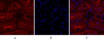
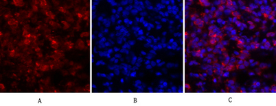
Product name: JAK1 rabbit pAb
Reactivity: Human;Mouse;Rat
Alternative Names: JAK1; JAK1A; JAK1B; Tyrosine-protein kinase JAK1; Janus kinase 1; JAK-1
Source: Rabbit
Dilutions: IF: 1:50-200 Western Blot: 1/500 - 1/2000. Immunohistochemistry: 1/100 - 1/300. ELISA: 1/10000. Not yet tested in other applications.
Immunogen: The antiserum was produced against synthesized peptide derived from human JAK1. AA range:988-1037
Storage: -20°C/1 year
Clonality: Polyclonal
Isotype: IgG
Concentration: 1 mg/ml
Observed Band: 132kD
GeneID: 3716
Human Swiss-Prot No: P23458
Cellular localization: Endomembrane system; Peripheral membrane protein. Wholly intracellular, possibly membrane associated.
Background: This gene encodes a membrane protein that is a member of a class of protein-tyrosine kinases (PTK) characterized by the presence of a second phosphotransferase-related domain immediately N-terminal to the PTK domain. The encoded kinase phosphorylates STAT proteins (signal transducers and activators of transcription) and plays a key role in interferon-alpha/beta and interferon-gamma signal transduction. Alternative splicing results in multiple transcript variants. [provided by RefSeq, Mar 2016],