$148.00/50µL $248.00/100µL
| 50 µL | $148.00 |
| 100 µL | $248.00 |
| Product name: | HSP70L rabbit pAb |
| Reactivity: | Human;Mouse;Rat |
| Alternative Names: | HSPA1L; Heat shock 70 kDa protein 1-like; Heat shock 70 kDa protein 1L; Heat shock 70 kDa protein 1-Hom; HSP70-Hom; HSPA1A; HSPA1; HSPA1B; Heat shock 70 kDa protein 1A/1B; Heat shock 70 kDa protein 1/2; HSP70-1/HSP70-2; HSP70.1/HSP70.2 |
| Source: | Rabbit |
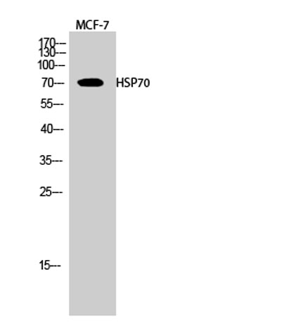
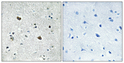
| Dilutions: | Western Blot: 1/500 - 1/2000. Immunohistochemistry: 1/100 - 1/300. ELISA: 1/40000. Not yet tested in other applications. |
| Immunogen: | The antiserum was produced against synthesized peptide derived from human HSPA1L. AA range:221-270 |
| Storage: | -20°C/1 year |
| Clonality: | Polyclonal |
| Isotype: | IgG |
| Concentration: | 1 mg/ml |
| Observed Band: | 70kD |
| GeneID: | 3305/3303/3304 |
| Human Swiss-Prot No: | P34931/P08107 |
| Cellular localization: | zona pellucida receptor complex,nucleoplasm,mitochondrial matrix,cytosol,COP9 signalosome,cell body,blood microparticle, |
| Background: | This gene encodes a 70kDa heat shock protein. In conjunction with other heat shock proteins, this protein stabilizes existing proteins against aggregation and mediates the folding of newly translated proteins in the cytosol and in organelles. The gene is located in the major histocompatibility complex class III region, in a cluster with two closely related genes which also encode isoforms of the 70kDa heat shock protein. [provided by RefSeq, Jul 2008], |



