Products

Histone H2A.X rabbit pAb
One-click to copy product information
ES2525
Size: Price:
50 µL $148.00
100 µL $248.00

Overview

Product name: Histone H2A.X rabbit pAb
Reactivity: Human;Mouse;Rat
Alternative Names: H2AFX; H2AX; Histone H2A.x; H2a/x
Source: Rabbit
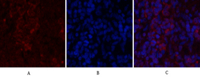
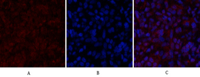
Dilutions: Western Blot: 1/500 - 1/2000. Immunohistochemistry: 1/100 - 1/300. Immunofluorescence: 1/200 - 1/1000. IP 1:200-500,ELISA: 1/10000. Not yet tested in other applications.
Immunogen: The antiserum was produced against synthesized peptide derived from human Histone H2A.X. AA range:94-143
Storage: -20°C/1 year
Clonality: Polyclonal
Isotype: IgG
Concentration: 1 mg/ml
Observed Band: 19kD
GeneID: 3014
Human Swiss-Prot No: P16104
Cellular localization: Nucleus . Chromosome .
Background: Histones are basic nuclear proteins that are responsible for the nucleosome structure of the chromosomal fiber in eukaryotes. Two molecules of each of the four core histones (H2A, H2B, H3, and H4) form an octamer, around which approximately 146 bp of DNA is wrapped in repeating units, called nucleosomes. The linker histone, H1, interacts with linker DNA between nucleosomes and functions in the compaction of chromatin into higher order structures. This gene encodes a replication-independent histone that is a member of the histone H2A family, and generates two transcripts through the use of the conserved stem-loop termination motif, and the polyA addition motif. [provided by RefSeq, Oct 2015],