Products

Histone deacetylase 1 rabbit pAb
One-click to copy product information
ES2518
Size: Price:
50 µL $148.00
100 µL $248.00

Overview

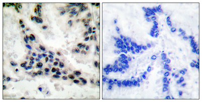
Product name: Histone deacetylase 1 rabbit pAb
Reactivity: Human;Mouse;Rat
Alternative Names: HDAC1; RPD3L1; Histone deacetylase 1; HD1
Source: Rabbit
Dilutions: Western Blot: 1/500 - 1/2000. Immunohistochemistry: 1/100 - 1/300. Immunofluorescence: 1/200 - 1/1000. ELISA: 1/10000. Not yet tested in other applications.
Immunogen: The antiserum was produced against synthesized peptide derived from human HDAC1. AA range:433-482
Storage: -20°C/1 year
Clonality: Polyclonal
Isotype: IgG
Concentration: 1 mg/ml
Observed Band: 55kD
GeneID: 3065
Human Swiss-Prot No: Q13547
Cellular localization: Nucleus .
Background: Histone acetylation and deacetylation, catalyzed by multisubunit complexes, play a key role in the regulation of eukaryotic gene expression. The protein encoded by this gene belongs to the histone deacetylase/acuc/apha family and is a component of the histone deacetylase complex. It also interacts with retinoblastoma tumor-suppressor protein and this complex is a key element in the control of cell proliferation and differentiation. Together with metastasis-associated protein-2, it deacetylates p53 and modulates its effect on cell growth and apoptosis. [provided by RefSeq, Jul 2008],