$148.00/50µL $248.00/100µL
| 50 µL | $148.00 |
| 100 µL | $248.00 |
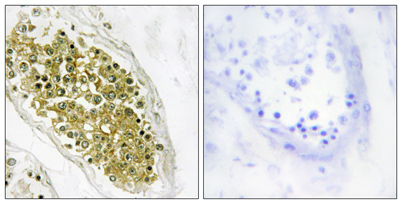
| Product name: | HIPK4 rabbit pAb |
| Reactivity: | Human;Mouse;Rat |
| Alternative Names: | HIPK4; Homeodomain-interacting protein kinase 4 |
| Source: | Rabbit |
| Dilutions: | Western Blot: 1/500 - 1/2000. Immunohistochemistry: 1/100 - 1/300. Immunofluorescence: 1/200 - 1/1000. ELISA: 1/20000. Not yet tested in other applications. |
| Immunogen: | The antiserum was produced against synthesized peptide derived from human HIPK4. AA range:511-560 |
| Storage: | -20°C/1 year |
| Clonality: | Polyclonal |
| Isotype: | IgG |
| Concentration: | 1 mg/ml |
| Observed Band: | 70kD |
| GeneID: | 147746 |
| Human Swiss-Prot No: | Q8NE63 |
| Cellular localization: | Cytoplasm . |
| Background: | homeodomain interacting protein kinase 4(HIPK4) Homo sapiens This gene encodes a member of the homeodomain interacting protein kinase (HIPK) family of proteins. While other members of this family are found throughout vertebrates, this member is present only in mammals. Compared to other members of this family, the encoded protein lacks a nuclear localization signal and a C-terminal autoinhibitory domain. The encoded protein exhibits kinase activity and may phosphorylate the tumor suppressor protein p53. [provided by RefSeq, Jul 2016], |



