$148.00/50µL $248.00/100µL
| 50 µL | $148.00 |
| 100 µL | $248.00 |
| Product name: | GSK3α rabbit pAb |
| Reactivity: | Human;Mouse;Rat |
| Alternative Names: | GSK3A; Glycogen synthase kinase-3 alpha; GSK-3 alpha; Serine/threonine-protein kinase GSK3A |
| Source: | Rabbit |
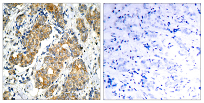
| Dilutions: | Western Blot: 1/500 - 1/2000. Immunohistochemistry: 1/100 - 1/300. Immunoprecipitation: 2-5 ug/mg lysate. ELISA: 1/20000. Not yet tested in other applications. |
| Immunogen: | The antiserum was produced against synthesized peptide derived from human GSK3A. AA range:10-59 |
| Storage: | -20°C/1 year |
| Clonality: | Polyclonal |
| Isotype: | IgG |
| Concentration: | 1 mg/ml |
| Observed Band: | 51kD |
| GeneID: | 2931 |
| Human Swiss-Prot No: | P49840 |
| Cellular localization: | mitochondrion,cytosol,beta-catenin destruction complex,postsynapse, |
| Background: | glycogen synthase kinase 3 alpha(GSK3A) Homo sapiens This gene encodes a multifunctional Ser/Thr protein kinase that is implicated in the control of several regulatory proteins including glycogen synthase, and transcription factors, such as JUN. It also plays a role in the WNT and PI3K signaling pathways, as well as regulates the production of beta-amyloid peptides associated with Alzheimer's disease. [provided by RefSeq, Oct 2011], |



