$148.00/50µL $248.00/100µL
| 50 µL | $148.00 |
| 100 µL | $248.00 |
| Product name: | eIF4E rabbit pAb |
| Reactivity: | Human;Mouse;Rat;Monkey |
| Alternative Names: | EIF4E; EIF4EL1; EIF4F; Eukaryotic translation initiation factor 4E; eIF-4E; eIF4E; eIF-4F 25 kDa subunit; mRNA cap-binding protein |
| Source: | Rabbit |
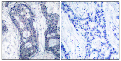
| Dilutions: | Western Blot: 1/500 - 1/2000. Immunohistochemistry: 1/100 - 1/300. ELISA: 1/10000. Not yet tested in other applications. |
| Immunogen: | The antiserum was produced against synthesized peptide derived from human eIF4E. AA range:168-217 |
| Storage: | -20°C/1 year |
| Clonality: | Polyclonal |
| Isotype: | IgG |
| Concentration: | 1 mg/ml |
| Observed Band: | 25kD |
| GeneID: | 1977 |
| Human Swiss-Prot No: | P06730 |
| Cellular localization: | Cytoplasm, P-body . Cytoplasm . Cytoplasm, Stress granule . Nucleus . Interaction with EIF4ENIF1/4E-T is required for localization to processing bodies (P-bodies) (PubMed:16157702, PubMed:24335285, PubMed:25923732). Imported in the nucleus via interaction with EIF4ENIF1/4E-T via a piggy-back mechanism (PubMed:10856257). . |
| Background: | The protein encoded by this gene is a component of the eukaryotic translation initiation factor 4F complex, which recognizes the 7-methylguanosine cap structure at the 5' end of messenger RNAs. The encoded protein aids in translation initiation by recruiting ribosomes to the 5'-cap structure. Association of this protein with the 4F complex is the rate-limiting step in translation initiation. This gene acts as a proto-oncogene, and its expression and activation is associated with transformation and tumorigenesis. Several pseudogenes of this gene are found on other chromosomes. Alternative splicing results in multiple transcript variants. [provided by RefSeq, Sep 2015], |


