Products

EGFR rabbit pAb
One-click to copy product information
ES2240
Size: Price:
50 µL $148.00
100 µL $248.00

Overview

Product name: EGFR rabbit pAb
Reactivity: Human;Mouse;Rat
Alternative Names: EGFR; ERBB; ERBB1; HER1; Epidermal growth factor receptor; Proto-oncogene c-ErbB-1; Receptor tyrosine-protein kinase erbB-1
Source: Rabbit
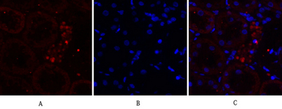
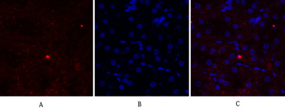
Dilutions: Western Blot: 1/500 - 1/2000. Immunohistochemistry: 1/100 - 1/300. Immunofluorescence: 1/200 - 1/1000. ELISA: 1/5000. Not yet tested in other applications.
Immunogen: The antiserum was produced against synthesized peptide derived from human EGFR. AA range:986-1035
Storage: -20°C/1 year
Clonality: Polyclonal
Isotype: IgG
Concentration: 1 mg/ml
Observed Band: 175kD
GeneID: 1956
Human Swiss-Prot No: P00533
Cellular localization: Cell membrane ; Single-pass type I membrane protein . Endoplasmic reticulum membrane ; Single-pass type I membrane protein. Golgi apparatus membrane; Single-pass type I membrane protein. Nucleus membrane; Single-pass type I membrane protein. Endosome . Endosome membrane. Nucleus . In response to EGF, translocated from the cell membrane to the nucleus via Golgi and ER (PubMed:20674546, PubMed:17909029). Endocytosed upon activation by ligand (PubMed:2790960, PubMed:17182860, PubMed:27153536, PubMed:17909029). Colocalized with GPER1 in the nucleus of estrogen agonist-induced cancer-associated fibroblasts (CAF) (PubMed:20551055). .; [Isoform 2]: Secreted.
Background: The protein encoded by this gene is a transmembrane glycoprotein that is a member of the protein kinase superfamily. This protein is a receptor for members of the epidermal growth factor family. EGFR is a cell surface protein that binds to epidermal growth factor. Binding of the protein to a ligand induces receptor dimerization and tyrosine autophosphorylation and leads to cell proliferation. Mutations in this gene are associated with lung cancer. [provided by RefSeq, Jun 2016],