Products

Dynein LC 1 rabbit pAb
One-click to copy product information
ES2209
Size: Price:
50 µL $148.00
100 µL $248.00

Overview

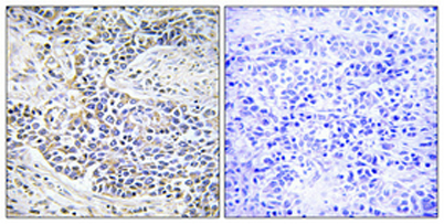
Product name: Dynein LC 1 rabbit pAb
Reactivity: Human;Mouse
Alternative Names: DNAL1; C14orf168; Dynein light chain 1; axonemal
Source: Rabbit
Dilutions: Western Blot: 1/500 - 1/2000. Immunohistochemistry: 1/100 - 1/300. ELISA: 1/40000. Not yet tested in other applications.
Immunogen: The antiserum was produced against synthesized peptide derived from human DNAL1. AA range:121-170
Storage: -20°C/1 year
Clonality: Polyclonal
Isotype: IgG
Concentration: 1 mg/ml
Observed Band: 22kD
GeneID: 83544
Human Swiss-Prot No: Q4LDG9
Cellular localization: Cytoplasm, cytoskeleton, cilium axoneme .
Background: This gene encodes an axonemal dynein light chain which functions as a component of the outer dynein arms complex. This complex acts as the molecular motor that provides the force to move cilia in an ATP-dependent manner. The encoded protein is expressed in tissues with motile cilia or flagella and may be involved in the movement of sperm flagella. Alternate splicing results in multiple transcript variants.[provided by RefSeq, Jan 2011],