$148.00/50µL $248.00/100µL
| 50 µL | $148.00 |
| 100 µL | $248.00 |
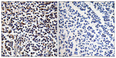
| Product name: | DRAK2 rabbit pAb |
| Reactivity: | Human;Mouse;Rat |
| Alternative Names: | STK17B; DRAK2; Serine/threonine-protein kinase 17B; DAP kinase-related apoptosis-inducing protein kinase 2 |
| Source: | Rabbit |
| Dilutions: | Western Blot: 1/500 - 1/2000. Immunohistochemistry: 1/100 - 1/300. ELISA: 1/40000. Not yet tested in other applications. |
| Immunogen: | The antiserum was produced against synthesized peptide derived from human STK17B. AA range:251-300 |
| Storage: | -20°C/1 year |
| Clonality: | Polyclonal |
| Isotype: | IgG |
| Concentration: | 1 mg/ml |
| Observed Band: | 45kD |
| GeneID: | 9262 |
| Human Swiss-Prot No: | O94768 |
| Cellular localization: | Nucleus . Cell membrane . Endoplasmic reticulum-Golgi intermediate compartment . Colocalizes with STK17B at the plasma membrane. . |
| Background: | catalytic activity:ATP + a protein = ADP + a phosphoprotein.,function:Acts as a positive regulator of apoptosis.,PTM:Autophosphorylated.,similarity:Belongs to the protein kinase superfamily.,similarity:Belongs to the protein kinase superfamily. CAMK Ser/Thr protein kinase family. DAP kinase subfamily.,similarity:Contains 1 protein kinase domain.,subunit:Interacts with CHP causing CHP to translocate from the Golgi to the nucleus.,tissue specificity:Highly expressed in placenta, lung, pancreas. Lower levels in heart, brain, liver, skeletal muscle and kidney., |



