Products

Dnmt3b rabbit pAb
One-click to copy product information
ES2189
Size: Price:
50 µL $148.00
100 µL $248.00

Overview

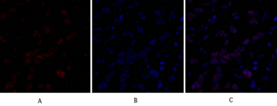
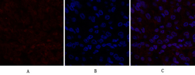
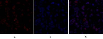
Product name: Dnmt3b rabbit pAb
Reactivity: Human;Chicken(testedbyourcustomer)
Alternative Names: DNMT3B; DNA (cytosine-5)-methyltransferase 3B; Dnmt3b; DNA methyltransferase HsaIIIB; DNA MTase HsaIIIB; M.HsaIIIB
Source: Rabbit
Dilutions: Western Blot: 1/500 - 1/2000. Immunohistochemistry: 1/100 - 1/300. Immunofluorescence: 1/200 - 1/1000. ELISA: 1/20000. Not yet tested in other applications.
Immunogen: The antiserum was produced against synthesized peptide derived from human DNMT3B. AA range:1-50
Storage: -20°C/1 year
Clonality: Polyclonal
Isotype: IgG
Concentration: 1 mg/ml
Observed Band: 96kD
GeneID: 1789
Human Swiss-Prot No: Q9UBC3
Cellular localization: Nucleus .
Background: CpG methylation is an epigenetic modification that is important for embryonic development, imprinting, and X-chromosome inactivation. Studies in mice have demonstrated that DNA methylation is required for mammalian development. This gene encodes a DNA methyltransferase which is thought to function in de novo methylation, rather than maintenance methylation. The protein localizes primarily to the nucleus and its expression is developmentally regulated. Mutations in this gene cause the immunodeficiency-centromeric instability-facial anomalies (ICF) syndrome. Eight alternatively spliced transcript variants have been described. The full length sequences of variants 4 and 5 have not been determined. [provided by RefSeq, May 2011],