Products

Cytokeratin 19 rabbit pAb
One-click to copy product information
ES2131
Size: Price:
50 µL $148.00
100 µL $248.00

Overview

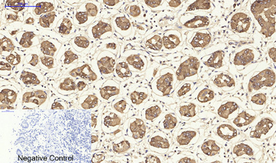
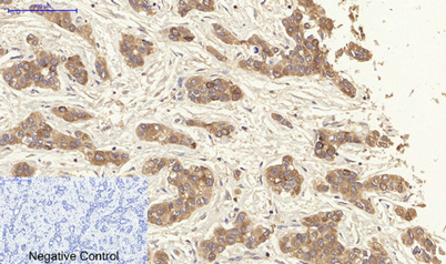
Product name: Cytokeratin 19 rabbit pAb
Reactivity: Human;Mouse;Rat
Alternative Names: KRT19; Keratin; type I cytoskeletal 19; Cytokeratin-19; CK-19; Keratin-19; K19
Source: Rabbit
Dilutions: Western Blot: 1/500 - 1/2000. Immunohistochemistry: 1/100 - 1/300. Immunofluorescence: 1/200 - 1/1000. ELISA: 1/10000. Not yet tested in other applications.
Immunogen: The antiserum was produced against synthesized peptide derived from human Keratin 19. AA range:231-280
Storage: -20°C/1 year
Clonality: Polyclonal
Isotype: IgG
Concentration: 1 mg/ml
Observed Band: 44kD
GeneID: 3880
Human Swiss-Prot No: P08727
Cellular localization: intermediate filament,plasma membrane,dystrophin-associated glycoprotein complex,Z disc,sarcolemma,costamere,extracellular exosome,cell periphery,terminal web,
Background: The protein encoded by this gene is a member of the keratin family. The keratins are intermediate filament proteins responsible for the structural integrity of epithelial cells and are subdivided into cytokeratins and hair keratins. The type I cytokeratins consist of acidic proteins which are arranged in pairs of heterotypic keratin chains. Unlike its related family members, this smallest known acidic cytokeratin is not paired with a basic cytokeratin in epithelial cells. It is specifically expressed in the periderm, the transiently superficial layer that envelopes the developing epidermis. The type I cytokeratins are clustered in a region of chromosome 17q12-q21. [provided by RefSeq, Jul 2008],