Products

Cytokeratin 18 rabbit pAb
One-click to copy product information
ES2128
Size: Price:
50 µL $148.00
100 µL $248.00

Overview

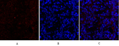
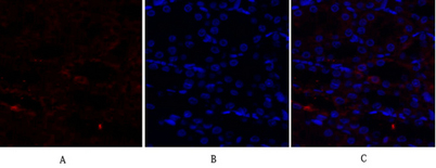
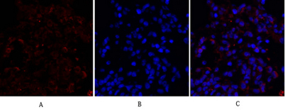
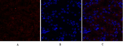
Product name: Cytokeratin 18 rabbit pAb
Reactivity: Human;Mouse;Rat
Alternative Names: KRT18; CYK18; PIG46; Keratin; type I cytoskeletal 18; Cell proliferation-inducing gene 46 protein; Cytokeratin-18; CK-18; Keratin-18; K18
Source: Rabbit
Dilutions: Western Blot: 1/500 - 1/2000. Immunohistochemistry: 1/100 - 1/300. Immunoprecipitation: 2-5 ug/mg lysate. Immunofluorescence: 1/200 - 1/1000. ELISA: 1/40000. Not yet tested in other applications.
Immunogen: The antiserum was produced against synthesized peptide derived from human Keratin 18. AA range:1-50
Storage: -20°C/1 year
Clonality: Polyclonal
Isotype: IgG
Concentration: 1 mg/ml
Observed Band: 47kD
GeneID: 3875
Human Swiss-Prot No: P05783
Cellular localization: Cytoplasm, perinuclear region. Nucleus, nucleolus.
Background: KRT18 encodes the type I intermediate filament chain keratin 18. Keratin 18, together with its filament partner keratin 8, are perhaps the most commonly found members of the intermediate filament gene family. They are expressed in single layer epithelial tissues of the body. Mutations in this gene have been linked to cryptogenic cirrhosis. Two transcript variants encoding the same protein have been found for this gene. [provided by RefSeq, Jul 2008],