Products

Cyclin D1 rabbit pAb
One-click to copy product information
ES2081
Size: Price:
50 µL $148.00
100 µL $248.00

Overview

Product name: Cyclin D1 rabbit pAb
Reactivity: Human;Mouse;Rat;Pig
Alternative Names: CCND1; BCL1; PRAD1; G1/S-specific cyclin-D1; B-cell lymphoma 1 protein; BCL-1; BCL-1 oncogene; PRAD1 oncogene
Source: Rabbit
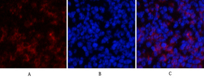
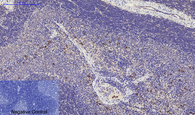
Dilutions: IF: 1:50-200 Western Blot: 1/500 - 1/2000. Immunohistochemistry: 1/100 - 1/300. ELISA: 1/40000. Not yet tested in other applications.
Immunogen: The antiserum was produced against synthesized peptide derived from human Cyclin D1. AA range:246-295
Storage: -20°C/1 year
Clonality: Polyclonal
Isotype: IgG
Concentration: 1 mg/ml
Observed Band: 33kD
GeneID: 595
Human Swiss-Prot No: P24385
Cellular localization: Nucleus . Cytoplasm . Nucleus membrane . Cyclin D-CDK4 complexes accumulate at the nuclear membrane and are then translocated to the nucleus through interaction with KIP/CIP family members. .
Background: The protein encoded by this gene belongs to the highly conserved cyclin family, whose members are characterized by a dramatic periodicity in protein abundance throughout the cell cycle. Cyclins function as regulators of CDK kinases. Different cyclins exhibit distinct expression and degradation patterns which contribute to the temporal coordination of each mitotic event. This cyclin forms a complex with and functions as a regulatory subunit of CDK4 or CDK6, whose activity is required for cell cycle G1/S transition. This protein has been shown to interact with tumor suppressor protein Rb and the expression of this gene is regulated positively by Rb. Mutations, amplification and overexpression of this gene, which alters cell cycle progression, are observed frequently in a variety of tumors and may contribute to tumorigenesis. [provided by RefSeq, Jul 2008],