Products

AF-10 rabbit pAb
One-click to copy product information
ES1609
Size: Price:
50 µL $148.00
100 µL $248.00

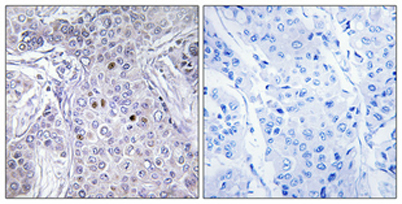
Overview

Product name: AF-10 rabbit pAb
Reactivity: Human;Mouse
Alternative Names: MLLT10; AF10; Protein AF-10; ALL1-fused gene from chromosome 10 protein
Source: Rabbit
Dilutions: Western Blot: 1/500 - 1/2000. Immunohistochemistry: 1/100 - 1/300. Immunofluorescence: 1/200 - 1/1000. ELISA: 1/10000. Not yet tested in other applications.
Immunogen: The antiserum was produced against synthesized peptide derived from human AF10. AA range:211-260
Storage: -20°C/1 year
Clonality: Polyclonal
Isotype: IgG
Concentration: 1 mg/ml
Observed Band: 109kD
GeneID: 8028
Human Swiss-Prot No: P55197
Cellular localization: Nucleus .
Background: myeloid/lymphoid or mixed-lineage leukemia; translocated to, 10(MLLT10) Homo sapiens This gene encodes a transcription factor and has been identified as a partner gene involved in several chromosomal rearrangements resulting in various leukemias. Multiple transcript variants encoding different isoforms have been found for this gene. [provided by RefSeq, Sep 2010],