$148.00/50µL $248.00/100µL
| 50 µL | $148.00 |
| 100 µL | $248.00 |
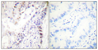
| Product name: | CREB-1 (phospho Ser142) rabbit pAb |
| Reactivity: | Human;Mouse;Rat |
| Alternative Names: | CREB1; Cyclic AMP-responsive element-binding protein 1; CREB-1; cAMP-responsive element-binding protein 1 |
| Source: | Rabbit |
| Dilutions: | Western Blot: 1/500 - 1/2000. Immunohistochemistry: 1/100 - 1/300. Immunofluorescence: 1/200 - 1/1000. ELISA: 1/40000. Not yet tested in other applications. |
| Immunogen: | The antiserum was produced against synthesized peptide derived from human CREB around the phosphorylation site of Ser142. AA range:111-160 |
| Storage: | -20°C/1 year |
| Clonality: | Polyclonal |
| Isotype: | IgG |
| Concentration: | 1 mg/ml |
| Observed Band: | 37kD |
| GeneID: | 1385 |
| Human Swiss-Prot No: | P16220 |
| Cellular localization: | Nucleus . |
| Background: | This gene encodes a transcription factor that is a member of the leucine zipper family of DNA binding proteins. This protein binds as a homodimer to the cAMP-responsive element, an octameric palindrome. The protein is phosphorylated by several protein kinases, and induces transcription of genes in response to hormonal stimulation of the cAMP pathway. Alternate splicing of this gene results in several transcript variants encoding different isoforms. [provided by RefSeq, Mar 2016], |



