Products

JNK1/2/3 (phospho Tyr185) rabbit pAb
One-click to copy product information
ES1499
Size: Price:
50 µL $148.00
100 µL $248.00

Overview

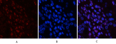
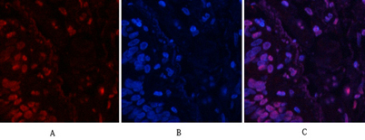
Product name: JNK1/2/3 (phospho Tyr185) rabbit pAb
Reactivity: Human;Mouse;Rat
Alternative Names: MAPK8; JNK1; PRKM8; SAPK1; SAPK1C; Mitogen-activated protein kinase 8; MAP kinase 8; MAPK 8; JNK-46; Stress-activated protein kinase 1c; SAPK1c; Stress-activated protein kinase JNK1; c-Jun N-terminal kinase 1; MAPK9; JNK2; PRKM9; SAPK1A; Mi
Source: Rabbit
Dilutions: IF: 1:50-200 Western Blot: 1/500 - 1/2000. Immunohistochemistry: 1/100 - 1/300. ELISA: 1/20000. Not yet tested in other applications.
Immunogen: The antiserum was produced against synthesized peptide derived from human SAPK/JNK around the phosphorylation site of Tyr185. AA range:151-200
Storage: -20°C/1 year
Clonality: Polyclonal
Isotype: IgG
Concentration: 1 mg/ml
Observed Band: 45kD
GeneID: 5599/5601/5602
Human Swiss-Prot No: P45983/P45984/P53779
Cellular localization: Cytoplasm . Nucleus . Cell junction, synapse . In the cortical neurons, predominantly cytoplasmic and associated with the Golgi apparatus and endosomal fraction. Increased neuronal activity increases phosphorylated form at synapses (By similarity). Colocalizes with POU5F1 in the nucleus. .
Background: The protein encoded by this gene is a member of the MAP kinase family. MAP kinases act as an integration point for multiple biochemical signals, and are involved in a wide variety of cellular processes such as proliferation, differentiation, transcription regulation and development. This kinase is activated by various cell stimuli, and targets specific transcription factors, and thus mediates immediate-early gene expression in response to cell stimuli. The activation of this kinase by tumor-necrosis factor alpha (TNF-alpha) is found to be required for TNF-alpha induced apoptosis. This kinase is also involved in UV radiation induced apoptosis, which is thought to be related to cytochrom c-mediated cell death pathway. Studies of the mouse counterpart of this gene suggested that this kinase play a key role in T cell proliferation, apoptosis and differentiation. Several alternatively spl