Products

FAK (phospho Tyr397) rabbit pAb
One-click to copy product information
ES1492
Size: Price:
50 µL $148.00
100 µL $248.00

Overview

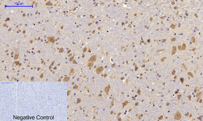
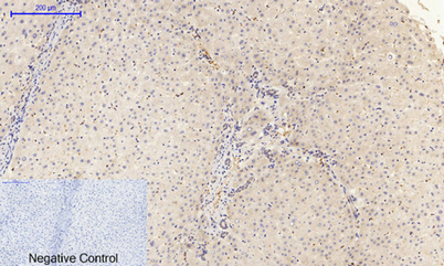
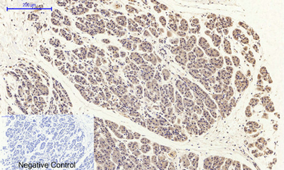
Product name: FAK (phospho Tyr397) rabbit pAb
Reactivity: Human;Mouse;Rat
Alternative Names: PTK2; FAK; FAK1; Focal adhesion kinase 1; FADK 1; Focal adhesion kinase-related nonkinase; FRNK; Protein phosphatase 1 regulatory subunit 71; PPP1R71; Protein-tyrosine kinase 2; p125FAK; pp125FAK
Source: Rabbit
Dilutions: Western Blot: 1/500 - 1/2000. Immunohistochemistry: 1/100 - 1/300. ELISA: 1/5000. Not yet tested in other applications.
Immunogen: The antiserum was produced against synthesized peptide derived from human FAK around the phosphorylation site of Tyr397. AA range:363-412
Storage: -20°C/1 year
Clonality: Polyclonal
Isotype: IgG
Concentration: 1 mg/ml
Observed Band: 119kD
GeneID: 5747
Human Swiss-Prot No: Q05397
Cellular localization: Cell junction, focal adhesion. Cell membrane; Peripheral membrane protein; Cytoplasmic side. Cytoplasm, cell cortex. Cytoplasm, cytoskeleton. Cytoplasm, cytoskeleton, microtubule organizing center, centrosome . Nucleus. Cytoplasm, cytoskeleton, cilium basal body . Constituent of focal adhesions. Detected at microtubules.
Background: protein tyrosine kinase 2(PTK2) Homo sapiens This gene encodes a cytoplasmic protein tyrosine kinase which is found concentrated in the focal adhesions that form between cells growing in the presence of extracellular matrix constituents. The encoded protein is a member of the FAK subfamily of protein tyrosine kinases but lacks significant sequence similarity to kinases from other subfamilies. Activation of this gene may be an important early step in cell growth and intracellular signal transduction pathways triggered in response to certain neural peptides or to cell interactions with the extracellular matrix. Several transcript variants encoding different isoforms have been found for this gene, but the full-length natures of only four of them have been determined. [provided by RefSeq, Oct 2015],