$148.00/50µL $248.00/100µL
| 50 µL | $148.00 |
| 100 µL | $248.00 |
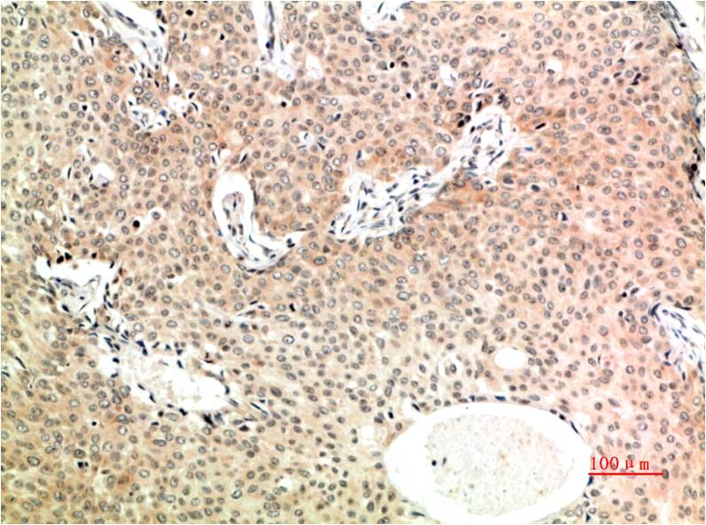
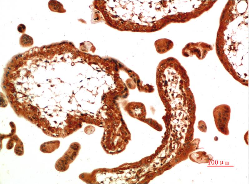
| Product name: | TGFβ1 (4B9) Mouse mAb |
| Reactivity: | Human, Mouse, Rat |
| Alternative Names: | TGF beta 1 antibody, TGFB antibody, CED antibody, LAP antibody |
| Source: | Mouse |
| Dilutions: | WB 1:1000-2000 IHC 1:100-200 |
| Immunogen: | Synthetic Peptide |
| Storage: | PBS with 0.02% sodium azide and 50% glycerol pH 7.4. Store at -20°C. Avoid repeated freeze-thaw cycles. |
| Clonality: | Monoclonal |
| Isotype: | IgG1 |
| Concentration: | 1mg/mL |
| Observed Band: | 12,25,45-65kDa |
| GeneID: | 7040 |
| Human Swiss-Prot No: | P01137 |
| Cellular localization: | Secreted,extracellular space,extracellular matrix |
| Background: | Transforming growth factor-β (TGF-β) superfamily members are critical regulators of cell proliferation and differentiation, developmental patterning and morphogenesis, and disease pathogenesis. Many cells synthesize TGFB1 and have specific receptors for it. It positively and negatively regulates many other growth factors. |


