Products

Pan Methylated Lysine Mouse mAb
One-click to copy product information
EM1186
Size: Price:
50 µL $148.00
100 µL $248.00

Overview

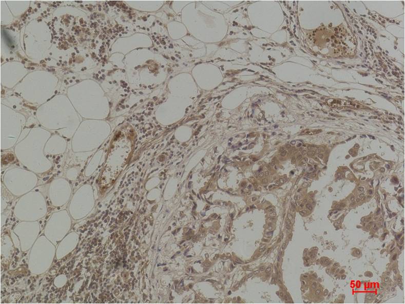
Product name: Pan Methylated Lysine Mouse mAb
Source: Mouse
Dilutions: WB 1:1,000-2,000   IHC 1:200-500
Immunogen: Conjugated Protein
Storage: PBS with 0.02% sodium azide and 50% glycerol pH 7.4. Store at -20°C. Avoid repeated freeze-thaw cycles.
Clonality: Monoclonal
Isotype: IgG1
Concentration: 1mg/mL
Background: Many proteins are post translationally modified. Modifications such as phosphorylation, glycosylation, ubiquitination and methylation have been shown to play an important role in the development, physiology and disease of animals and plants.