$148.00/50µL $248.00/100µL
| 50 µL | $148.00 |
| 100 µL | $248.00 |
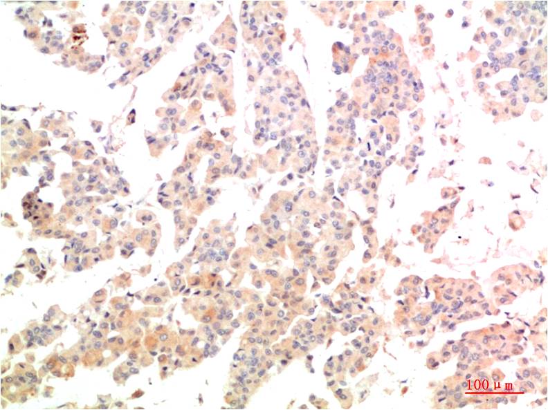
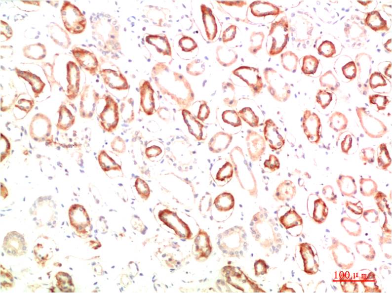
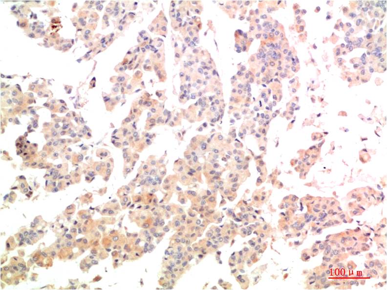
| Product name: | MEK3 Rabbit pAb |
| Reactivity: | Human, Mouse, Rat |
| Alternative Names: | MAP2K3; MKK3; PRKMK3; Dual specificity mitogen-activated protein kinase kinase 3; MAP kinase kinase 3; MAPKK3; MAPK/ERK kinase 3 |
| Source: | Rabbit |
| Dilutions: | IHC 1:100-200 |
| Immunogen: | Recombinant Protein |
| Storage: | PBS with 0.02% sodium azide and 50% glycerol pH 7.4. Store at -20°C. Avoid repeated freeze-thaw cycles. |
| Clonality: | Polyclonal |
| Isotype: | IgG |
| Concentration: | 1mg/mL |
| Observed Band: | 34,39kDa |
| GeneID: | 5606 |
| Human Swiss-Prot No: | P46734 |
| Cellular localization: | Cytosol,Nucleus |
| Background: | Three alternatively spliced transcript variants of MEK3 encoding distinct isoforms have been reported. Isoform B utilizes a different start codon compared to isoform C resulting in the production of a N-terminal segment of isoform B which is shorter and distinct from isoform C . MEK3b is the predominant form of MEK3 and strongly activates p38 MAP kinase . |