$148.00/50µL $248.00/100µL
| 50 µL | $148.00 |
| 100 µL | $248.00 |
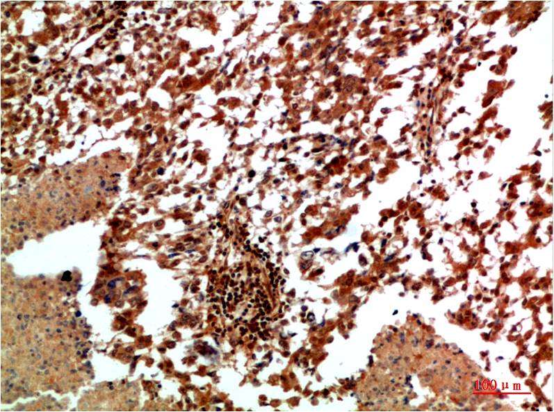
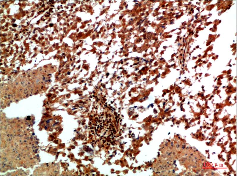
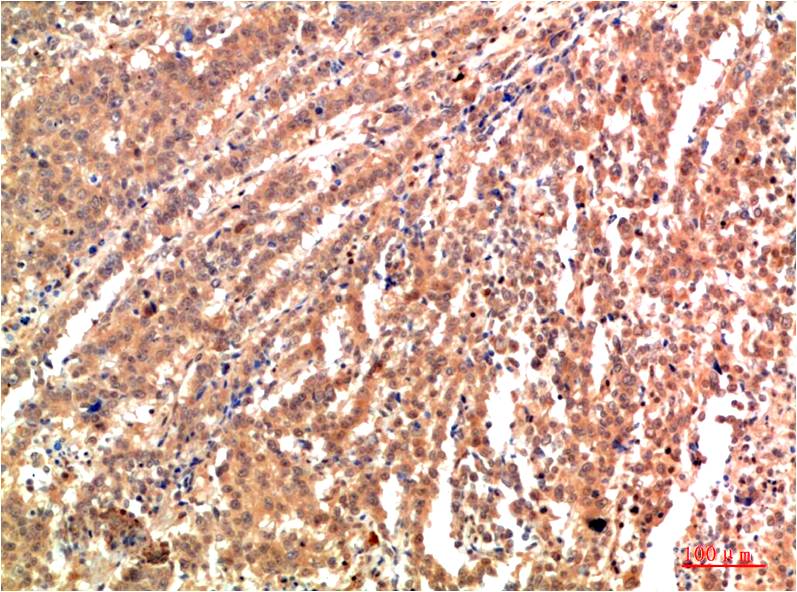
| Product name: | JNK2 Rabbit pAb |
| Reactivity: | Human, Mouse, Rat |
| Alternative Names: | c Jun kinase 2, JNK55, JNK2A, JNK2B, SAPK |
| Source: | Rabbit |
| Dilutions: | WB 1:500-1,000 IHC 1:100-200 |
| Immunogen: | Recombinant Protein |
| Storage: | PBS with 0.02% sodium azide and 50% glycerol pH 7.4. Store at -20°C. Avoid repeated freeze-thaw cycles. |
| Clonality: | Polyclonal |
| Isotype: | IgG |
| Concentration: | 1mg/mL |
| Observed Band: | 46,54kDa |
| GeneID: | 5601 |
| Human Swiss-Prot No: | P45984 |
| Cellular localization: | Cytoplasm, Nucleus |
| Background: | There are three SAPK/JNK genes each of which undergoes alternative splicing, resulting in numerous isoforms. SAPK/JNK, when active as a dimer, can translocate to the nucleus and regulate transcription through its effects on c-Jun, ATF-2, and other transcription factors. |